La sarcoidosis: qué es, síntomas y tratamiento
Enfermedades
La sarcoidosis es una enfermedad que afecta a personas de todo el mundo, y que en algunos casos (eso sí, raros) puede llegar a ser mortal. Se caracteriza por el crecimiento de pequeñas acumulaciones de células inflamatorias (granulomas) en cualquier parte del cuerpo, más comúnmente en los pulmones y en los ganglios linfáticos. Las personas que la padecen pueden llegar a tener un importante impacto emocional, social y laboral para las personas que la padecen.
La causa de la sarcoidosis es desconocida, aunque Los médicos creen que tener ciertos genes hace que una persona sea más propensa a desarrollarla. La hipótesis más aceptada es que viene provocada por una reacción inmune a algún factor ambiental desconocido en conjunción con una posible predisposición genética. También se baraja que pueda derivar de una respuesta autoinmune a determinadas proteínas que se encuentran de manera natural en el cuerpo humano.
El inicio de la enfermedad normalmente se da entre los 20 y 40 años de edad. Es muy poco común entre los niños pequeños. Las mujeres generalmente resultan afectadas con mayor frecuencia que los hombres.
SÍNTOMAS
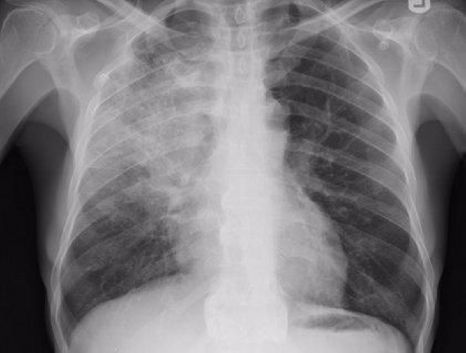
La sintomatología concreta va a depender del sistema afectado por la aparición de granulomas. En el caso de la afectación de pulmón, los pacientes tienen síntomas como disnea, tos, dolor u opresión torácica. Las radiografías de tórax muestran patología casi en un 90% de los casos.
La piel está afectada hasta en un 20% de los casos, siendo frecuente como manifestación inicial y forma clínica más habitual es el eritema nodoso (lesión oscura dolorosa en superficies extensoras), seguido de las placas y los nódulos.
Si, por el contrario, afecta a la piel, los síntomas pueden incluir sarpullidos (por lo general en las piernas), úlceras en la cara, oscurecimiento o aclaramiento en la piel, y la formación de nódulos (bultos subcutáneos).
En cuanto al aparato locomotor, es frecuente la afectación de las articulaciones de mediano tamaño con especial predilección por los tobillos, aunque también se ven involucradas las muñecas, los hombros y las rodillas.
En su manifestación ocular, los principales síntomas son visión borrosa, dolor ocular, ardor o sequedad ocular, irritación, y en algunos casos la aparición de bultos.
TRATAMIENTO
Respecto a su diagnóstico, hasta en un 50% de los casos se puede descubrir de forma casual por hallazgos clínicos-radiográficos y la posterior demostración por biopsia de granuloma caseificantes con cultivos negativos para micobacterias u hongos.
A día de hoy no se conoce ninguna cura para la sarcoidosis, Pero a la mayoría de las personas les va muy bien sin tratamiento o solo con un tratamiento simple. En algunos casos, la sarcoidosis desaparece por sí sola. Sin embargo, la sarcoidosis puede durar años y puede provocar daño en los órganos.
En estos casos más graves, existen varios tratamientos con medicamentos que han demostrado eficacia, como corticoesteroides, inhibidores del sistema inmune, hidroxicloriquina e inhibidores del factor de necrosis tumoral alfa.
Esto suele complementarse con tratamientos destinados a aliviar los síntomas, como pueden ser fisioterapia, rehabilitación pulmonar o implantación de marcapasos en las manifestaciones cardíacas.
También te puede interesar
Contenido ofrecido por QuirónSalud
Cómo mejorar la salud emocional en los adolescentes y reforzar su autoestima