Descubren en Ecuador una especie de hongo con gran potencial antibacteriano

Ciencia

Es un importante hallazgo porque inhibe una bacteria causante de enfermedades como la diarrea, neumonía o meningitis.

Descubren una nueva especie de mono: el mono tocón de Aquino

Descubren en Ecuador una especie de hongo con gran potencial antibacteriano
Descubren en Ecuador una especie de hongo con gran potencial antibacteriano
Efe

Quito, 06 de enero 2023 - 08:24

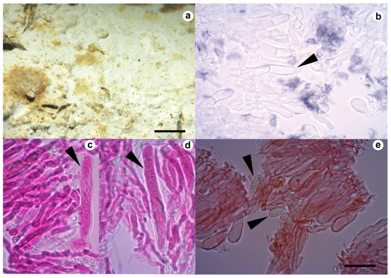
Un grupo científico ha descubierto una nueva especie de hongo que habita en un parque nacional del sur de Ecuador y que posee un buen potencial antibacteriano, especialmente para inhibir a una bacteria causante de enfermedades como la diarrea, neumonía o meningitis.

Se trata del Gloeocystidiellum lojanense, un "hongo resupinado y corticioide con potencial antibacteriano contra Escherichia coli", informó este jueves el Instituto Nacional de Biodiversidad (Inabio) de Ecuador.

El hallazgo estuvo a cargo de investigadores del Inabio y de las universidades Técnica Particular de Loja (TPL) de Ecuador y de las belgas de Lieja y Lovaina.

El descubrimiento se efectuó en el sector de Cajanuma, en el Parque Nacional Podocarpus, una reserva de biodiversidad en la provincia andina de Loja, en el sur de Ecuador.

Los investigadores Andrea Jaramillo-Riofrío, Cony Decock, Juan Pablo Suárez, Ángel Benítez, Gabriel Castillo y Darío Cruz han detallado en una publicación científica a la nueva especie y han mencionado que ésta "exhibió actividad antibacteriana contra las cuatro cepas de la especie E. coli".

Una acción inhibidora del hongo sobre la bacteria "puede deberse al hecho de que estos patotipos de E. coli son menos virulentos y resistentes", indicó el Inabio.

Explicó que microorganismos patógenos (como bacterias, hongos y virus) son causantes de infecciones y un grave problema de salud pública, principalmente por la alta tasa de cambios genéticos, mecanismos de resistencia o uso incorrecto y excesivo de antimicrobianos en el tratamiento.

Además, precisó que "la resistencia bacteriana a los antibióticos aumenta las tasas de infección", así por ejemplo las bacterias "Gram-negativas" inciden en el 61,3 por ciento de las infecciones, las "Gram-positivas (34,8%), levaduras (2%) y otros patógenos (1,9%), principalmente en países en desarrollo".

Añadió que la familia de bacterias "Enterobacteriaceae" o Gram-negativas "es el grupo más grande y heterogéneo de importancia clínica causantes de infecciones en humanos, principalmente por géneros como Citrobacter, Enterobacter, Escherichia, Klebsiella, Proteus, Serratia, Shigella y Salmonella".

"Entre estas infecciones alrededor del 80% corresponden a tracto urinario, neumonía, diarrea, meningitis, sepsis y el shock endotóxico", agregó el Inabío al enunciar el potencial en la salud humana de la nueva especie de hongo hallado en el Parque Nacional Podocarpus.

Ecuador, que es considerado entre los países más megadiversos del planeta, posee una gran diversidad de hongos que requieren investigación taxonómica, por su potencial bioactivo y las posibles aplicaciones en varios campos como el de la salud humana, añadió la fuente.

Agregó que "los hongos constituyen un grupo promisorio de interés para la búsqueda de compuestos bioactivos, además de ser un grupo de organismos muy diverso, con un estimado de 1,5 a 5 millones de especies en el mundo, de las cuales solo una pequeña proporción de se han descrito (100.000)".

stats