La bacterias bucales son la principal causa de periodontitis, una de las principales causas de la pérdida de dientes

Salud

El equipo realizó un estudio transversal en el que analizaron genotípicamente a 14.539 participantes y realizaron muestras de saliva de 385 individuos

La bacterias bucales son la principal causa de periodontitis, una de las principales causas de la pérdida de dientes
La bacterias bucales son la principal causa de periodontitis, una de las principales causas de la pérdida de dientes

MADRID, 05 de septiembre 2021 - 10:23

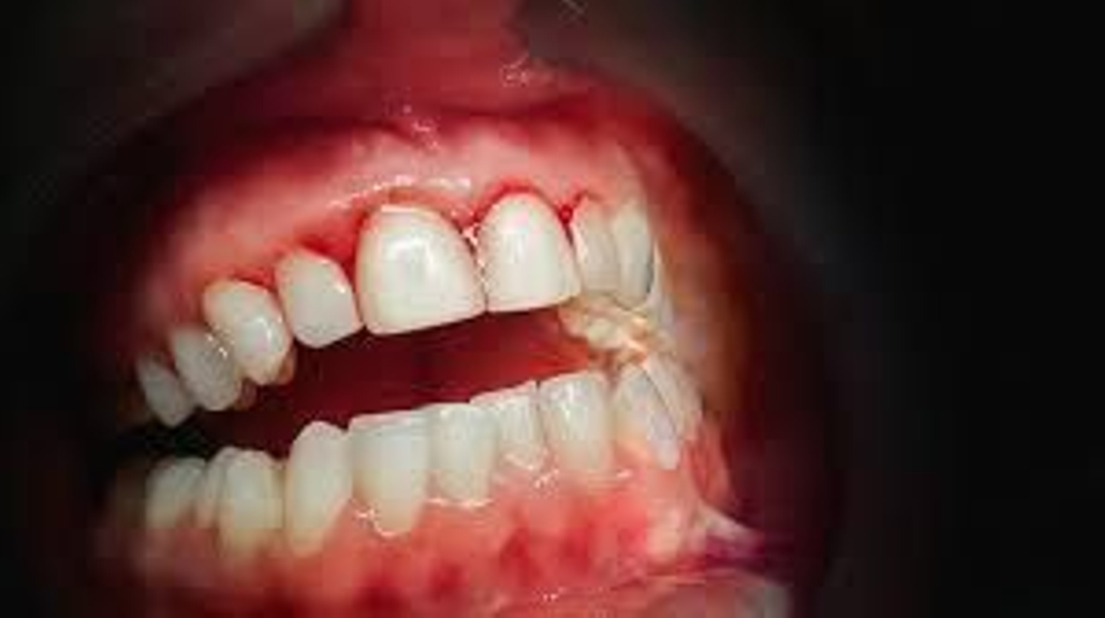
Investigadores de la Okayama University (Japón) han evidenciado, en un estudio publicado en el International Journal of Environmental Research and Public Health, que las bacterias bucales son la principal causa de periodontitis, una de las principales causas de la pérdida de dientes.

En el trabajo, los expertos se centraron en comprender los microbios asociados a la presencia de periodontitis, así como los factores genéticos del huésped que podrían facilitar el desarrollo de las afecciones. "Varios estudios sobre periodontitis han demostrado que el desarrollo de la enfermedad está asociado con la naturaleza del microbioma oral, así como con el polimorfismo genético, el tipo más común de variación genética entre las personas. Sin embargo, no existe ningún estudio que evalúe simultáneamente la importancia de estos dos factores de riesgo en el desarrollo de la enfermedad", han detallado.

En consecuencia, el equipo realizó un estudio transversal en el que analizaron genotípicamente a 14.539 participantes y realizaron muestras de saliva de 385 individuos. Finalmente, retuvieron a 22 individuos para el análisis estadístico y, basándose en su estado periodontal, los dividieron en grupos de 'periodontitis' y de 'control'.

El equipo descubrió que la diversidad beta de los microbios, que se refiere a la relación entre la diversidad de especies regionales y locales, era significativamente diferente entre los grupos de periodontitis y de control. Además, atribuyeron la presencia de las especies de bacterias 'P. gingivalis' y las familias bacterianas Lactobacillaceae y Desulfobulbaceae a la periodontitis.

Por el contrario, no encontraron relación entre polimorfismo genético y periodontitis. Teniendo en cuenta estas inferencias, el equipo concluyó que nuestro microbioma oral afecta el estado de la periodontitis más que nuestros genes.

"El hecho de que la prevalencia de la periodontitis esté asociada con los miembros del microbioma en lugar de la identidad genética del individuo motivaría a los médicos a prestar más atención a la composición del microbioma que a los factores del huésped en el trabajo rutinario del examen periodontal, y diseñar una estrategia de tratamiento personalizada para la periodontitis", han enfatizado.

stats