Una familia sevillana reclama 263.000 euros al SAS por una presunta negligencia en la muerte de un paciente por disección de la aorta

El paciente fue atendido en el servicio de urgencias del Hospital Macarena, recibió el alta con diagnóstico de gastroenteritis y falleció a la mañana siguiente

La familia sostiene que hubo un "fallo en la valoración radiológica de la radiografía de tórax" y se emitió un diagnóstico erróneo

Un acta arbitral que vale una sentencia absolutoria

El servicio de Urgencias del Hospital Macarena, donde fue atendido el paciente.
El servicio de Urgencias del Hospital Macarena, donde fue atendido el paciente. / Juan Carlos Vázquez

Una familia sevillana ha presentado una reclamación patrimonial al Servicio Andaluz de Salud (SAS), en la que solicitan una indemnización de 263.000 euros por el fallecimiento de su esposo y padre quien, tras ser atendido en el servicio de Urgencias del Hospital Virgen Macarena, fue dado de alta con diagnóstico de gastroenteritis y falleció al día siguiente por una disección de aorta torácica de tipo A con rotura y hemopericardio secundario.

El caso se remonta al 19 de diciembre de 2024, cuando sobre las siete de la mañana, el paciente, un hombre de 59 años, comenzó a sufrir un dolor abdominal, continuo e intenso, en epigastrio y mesogastrio, irradiado hacia los flancos y el tórax, región cervical y mandibular, con sensación de pérdida inminente de conocimiento en dos ocasiones, sin que presentara vómitos ni diarreas. Atendido por el servicio 061, el hombre fue derivado por "dolor torácico/d. precordial" al servicio de Urgencias del Hospital Macarena, donde le fue realizada una radiografía simple de abdomen y una radiografía de tórax, así como analítica que mostraba leucocitos y neutrófilos elevados anormalmente.

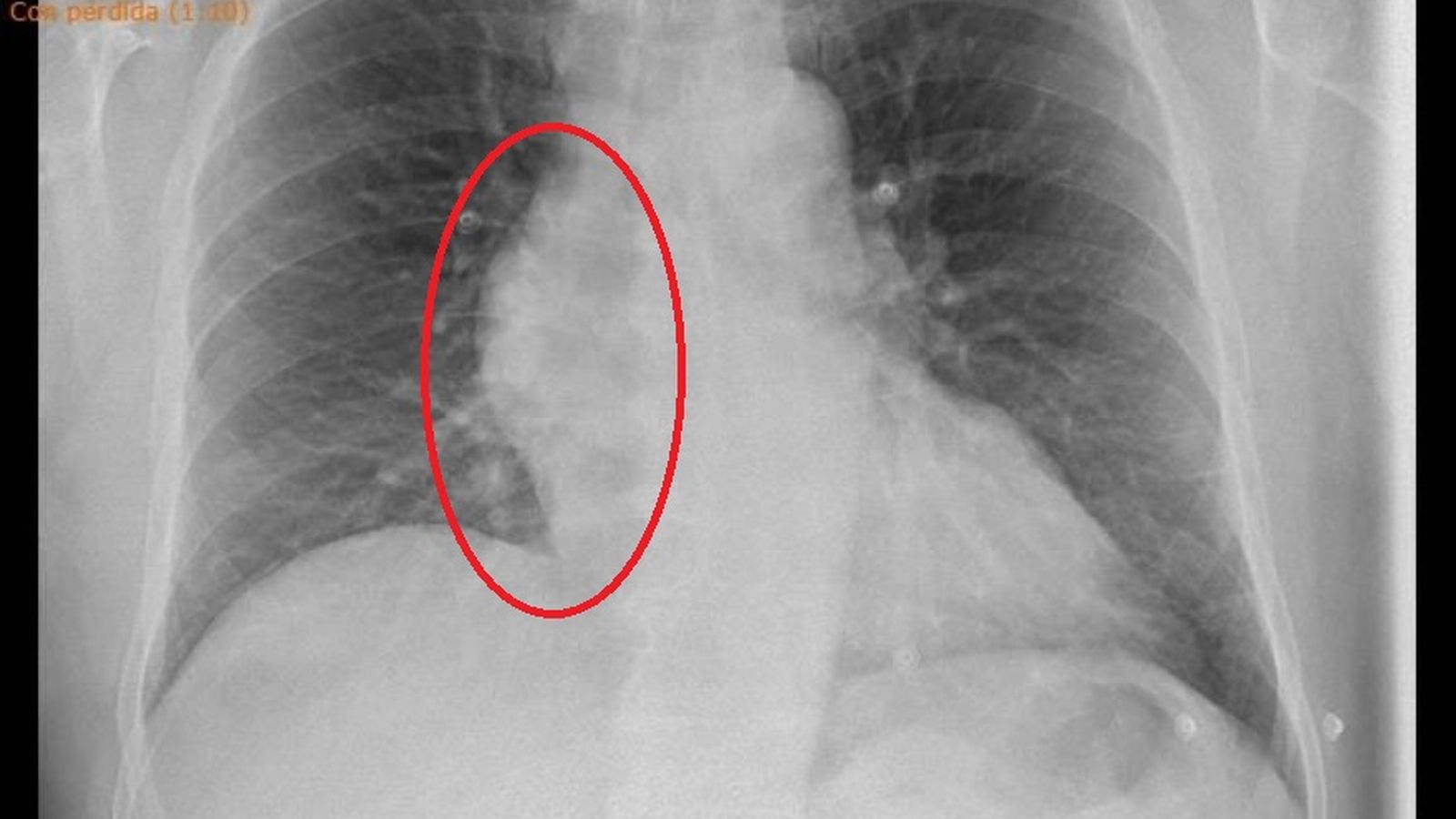
Según expone la familia en su reclamación, a pesar de que la radiografía de tórax "mostraba claramente un marcado ensanchamiento mediastínico, con un evidente aumento de tamaño de la silueta de la aorta ascendente, muy sugestivo de dilatación patológica aórtica, fue dado de alta a las 16:48 horas con el diagnóstico de "GEA" (gastroenteritis aguda), con tratamiento analgésico. El paciente continuó en todo momento con el dolor abdominal, sin que en ningún momento se acompañara el dolor de vómitos ni diarrea.

Esta radiografía, a la que ha tenido acceso este periódico, no se reseña en el informe de alta de Urgencias.

La radiografía de tórax del paciente que muestra un marcado ensanchamiento mediastínico, según explica la reclamación presentada por la familia.
La radiografía de tórax del paciente que muestra un marcado ensanchamiento mediastínico, según explica la reclamación presentada por la familia. / M. G.

A las 7:10 horas de la mañana siguiente, el esposo y padre de las reclamantes sufrió una pérdida de conocimiento sin responder a ninguna estimulación por parte de la familia, siendo atendido en un primer momento por un vecino, quien inició las maniobras de resucitación cardiopulmonar básica y activó la emergencia llamando al 112. Acudieron nuevamente los profesionales del 061, que hallaron al hombre sin latido cardíaco y sin respiración, iniciando maniobras de resucitación cardiopulmonar que, tras más de media hora, fue detenida por falta de respuesta, confirmándose el fallecimiento.

La autopsia confirmó que la muerte se debió a una disección de aorta torácica que terminaba antes de la salida de los grandes vasos y rotura aórtica en forma de "V", con presencia de aproximadamente 500 cc de sangre en el pericardio, interpretado como la causa inmediata de la muerte por taponamiento cardíaco.

Se trataba de una "emergencia letal"

El abogado Pedro Arnaiz, especialista en mala praxis sanitaria y que representa a la familia del fallecido, ha explicado que la disección aórtica de tipo A de Stanford, que se extiende por la aorta ascendente, es "una emergencia letal, cuya mortalidad aumenta el 1-2% por hora sin tratamiento, según consenso de la Asociación Americana de Cirugía Torácica sobre tratamiento quirúrgico de la disección aórtica aguda tipo A, de tal forma que alcanza el 50% en las primeras 48 horas".

Según indica el letrado, “el tratamiento quirúrgico inmediato y adecuado, reduce la mortalidad extraordinariamente y permite tasas de supervivencia a los tres años superiores al 90%, según los datos del Grupo de Expertos de la Asociación Americana de Cardiología y del Colegio Americano de Cardiología”, “por lo que de haber sido correctamente manejado, con Angio-TAC y cirugía de urgencia, la probabilidad de supervivencia a 5 años hubiera sido cercana al 80%, pues la mortalidad en la intervención quirúrgica es menor del 10% en centros expertos, como es el hospital Virgen Macarena de Sevilla donde estaba siendo atendido el paciente, y una vez superada la intervención la mortalidad asociada al proceso es mínima”.

El abogado Pedro Arnaiz, que representa a la familia del fallecido.
El abogado Pedro Arnaiz, que representa a la familia del fallecido. / M. G.

“Las deficiencias en la atención médica impidieron el diagnóstico y, consecuentemente, que el paciente tuviera la oportunidad de recibir tratamiento primero médico y luego quirúrgico urgente, que eran vitales para que pudiera sobrevivir”, concluye Pedro Arnaiz, pues “hubo un fallo en la valoración radiológica de la Radiografía de tórax con ensanchamiento mediastínico por dilatación aórtica. La combinación de este hallazgo con un dolor tóraco-abdominal con sensación de pérdida de consciencia inminente, era altamente sugestiva de disección aórtica”, subraya el experto.

La reclamación se acompaña de un informe pericial que hace hincapié en que “la valoración de estos datos debería haber iniciado un proceso diagnóstico terapéutico orientado hacia una disección aórtica con carácter extremadamente urgente”, por lo que la consecuencia directa es que se perdió la oportunidad de diagnóstico por imagen (Angio-TAC o Ecocardiografía) que hubiera confirmado la patología y permitido el inicio de tratamiento médico urgente en la unidad de cuidados intensivos, seguido de cirugía urgente”, como recomiendan las guías europeas de cirugía cardiotorácica.

El letrado concluye que “la correcta valoración de la radiografía de tórax, junto al dolor abdominal intenso con leucocitosis y con neutrofilia y la sensación de pérdida de conciencia inminente, obligaba a observar al paciente estrechamente, buscando identificar la causa subyacente de manera urgente, cosa que no se hizo en este enfermo, a quien se envió a su casa con el diagnóstico erróneo de un proceso leve, como es una gastroenteritis aguda, abocándole a la muerte, pues si se hubiese indicado una Angio-TAC, hubiera llevado a cirugía urgente que habría permitido como en la inmensa mayoría de los casos la rotura de la arteria, la insuficiencia aórtica aguda y la muerte por taponamiento cardiaco”, por lo que el paciente “fue privado del único tratamiento capaz de evitar el desenlace fatal como consecuencia del taponamiento cardiaco por rotura aórtica”.

Según la reclamación presentada ahora al SAS, “esta actuación de quien dio de alta a este paciente en el servicio de Urgencias del Hospital Macarena, sin valorar una radiografía de tórax altamente patológica, pues presentaba un marcado ensanchamiento mediastínico, con aumento de tamaño de la silueta de la aorta ascendente, altamente sugestivo de patología aórtica, desatendiendo además los signos clínicos y analíticos de gravedad que mostraba al dar de alta con un diagnóstico trivial (gastroenteritis aguda), fue gravemente negligente, pues se omitieron los protocolos diagnósticos y terapéuticos obligatorios ante una patología con alta sospecha de riesgo vital".

stats