Llegó con migraña al médico y se encontró con el causante: larvas de tenia que ingirió comiendo tocino
Un hombre de 52 años, residente en Estados Unidos, ha sido diagnosticado con neurocisticercosis, una afección cerebral causada por la ingesta de carne de cerdo contaminada con la larva de Tenia solium, comúnmente conocida como la tenia del cerdo. Este sorprendente caso médico revela cómo un hábito aparentemente inofensivo de consumir tocino poco cocido llevó a un cambio drástico en sus migrañas, lo que finalmente condujo al descubrimiento de múltiples quistes en su cerebro.
El hombre, cuya identidad se mantiene en reserva por razones de privacidad, había experimentado migrañas crónicas, pero notó un aumento en su frecuencia y severidad en el último año. Estas migrañas se localizaban en la región occipital de su cabeza y ya no respondían a los tratamientos habituales. A pesar de no presentar otros síntomas neurológicos evidentes, como convulsiones o debilidad, decidió buscar ayuda médica.
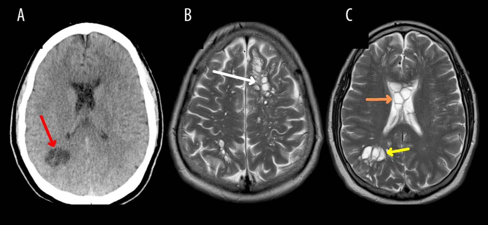
Fue entonces cuando los médicos realizaron una tomografía computarizada que reveló la presencia de numerosos quistes en su cerebro, esparcidos bilateralmente en el parénquima cortical profundo y la sustancia blanca periventricular. Inicialmente, se consideró que estos cambios podrían ser quistes neurogliales congénitos, pero una resonancia magnética posterior mostró signos de edema alrededor de los quistes, lo que suscitó preocupaciones de neurocisticercosis.
La neurocisticercosis, una forma de infección parasitaria del sistema nervioso causada por Tenia solium, es una condición poco común pero grave. En este caso, los exámenes de laboratorio revelaron la presencia de anticuerpos IgG específicos para la cisticercosis, confirmando el diagnóstico. El paciente fue tratado de inmediato con dexametasona para reducir el edema cerebral y se le administraron medicamentos antiparasitarios, albendazol y praziquantel, durante un período de 14 días.
Tras el tratamiento, el paciente experimentó una notable mejoría, con regresión de las lesiones cerebrales y una disminución significativa en la frecuencia y gravedad de sus migrañas. Actualmente, está bajo seguimiento ambulatorio en la clínica de Enfermedades Infecciosas, recuperándose con éxito de esta infección parasitaria poco común pero impactante.
También te puede interesar
Lo último