Psoriasis o artritis psoriásica, un abordaje integral más allá de la piel

salud

La Sociedad Española de Calidad Asistencial reconoce la excelencia del Valme en la atención de estas patologías a través de una pionera unidad multidisciplinar que fusiona la atención dermatológica con la reumatológica

Consulta con la dermatóloga Pérez Gil y la reumatóloga Hernández Sánchez acompañadas de un médico interno residente.
Consulta con la dermatóloga Pérez Gil y la reumatóloga Hernández Sánchez acompañadas de un médico interno residente. / H. U. V.

Psoriasis y artritis psoriásica. Dos enfermedades muy relacionadas entre sí que condicionan la vida de miles de sevillanos y para las que no hay una cura total. Aunque ambas pueden aparecer de forma independiente, la realidad es que en torno al 90% de las personas con artritis psoriásica han sufrido previamente psoriasis. Es por ello que dermatólogos y reumatólogos deben ir de la mano para combatir la enfermedad.

El Hospital de Valme es el único centro andaluz que cuenta con una unidad conjunta de Reumatología y Dermatología para la asistencia de estas patologías. La consulta multidisciplinar Psoriasis-Artritis Psoriásica del hospital sevillano está activa desde enero de 2018. Desde entonces está coordinada por la dermatóloga Amalia Pérez Gil y la reumatóloga Raquel Hernández Sánchez, siendo la primera unidad clínica conjunta de estas características en Sevilla, pionera en Andalucía y de las pocas existentes en España para un abordaje conjunto de estas dos enfermedades y desde la que se aporta una mejora de la calidad asistencial a los pacientes al ser valorados en una misma consulta por las dos especialidades.

Afectación cutánea de la psoriasis, con placas en rodilla.
Afectación cutánea de la psoriasis, con placas en rodilla. / H. U. V.

La psoriasis es una enfermedad inflamatoria crónica caracterizada por la aparición en la piel de placas rojas con descamación. Se desconoce su causa, pero se sabe que el estrés y ciertos procesos infecciosos pueden motivar su aparición. Es de base autoinmune y afecta a un 2% de la población. Aunque habitualmente la psoriasis se relaciona con una afección de la piel, no sólo es una enfermedad cutánea. Está asociada a múltiples comorbilidades sistémicas siendo la articular una de las más relevantes. Precisamente, se estima que 1 de cada 3 pacientes con psoriasis se halla en riesgo de desarrollar artritis psoriásica. Una enfermedad, igualmente, autoinmune, perteneciente al denominado grupo de las espondiloartritis, que consiste en la inflamación crónica del sistema musculoesquelético, con impacto multiorgánico, de curso crónico y progresivo.

Las dos especialistas que forman parte de este proyecto destacan la importancia del enfoque multidisciplinar y global conjunto como prácticas clínicas de excelencia frente a la evaluación independiente y diferenciada extendida en mayor parte. Todo ello ha contribuido a que el Hospital de Valme se haya convertido en centro de referencia en la calidad asistencial en estas dos patologías convergentes, de gran prevalencia y cuya precocidad en diagnósticos y tratamientos es esencial para revertir su gravedad.

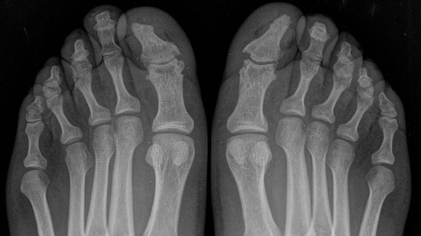
Afectación osteo-articular de la enfermedad en ambos pies.
Afectación osteo-articular de la enfermedad en ambos pies. / H. U. V.

Como prueba de esa excelencia, el servicio acaba de alcanzar la cima, alzándose con la certificación de excelencia asistencial que otorga la Sociedad Española de Calidad Asistencial (SECA). Un reconocimiento que tiene detrás la innovación organizativa, la eficiencia diagnóstico-terapéutica y la optimización como los apellidos de un modelo asistencial de éxito que ha conseguido alcanzar los 59 estándares fijados en el Proyecto Quantum de dicha iniciativa nacional de calidad.

El objetivo de este proyecto es mejorar la atención y calidad de vida de estos pacientes en toda España, a través de una autoevaluación inicial, planes de mejora individualizados y una posterior auditoría para, en su caso, certificar el nivel de calidad de las unidades multidisciplinares de psoriasis-artritis psoriásica. Los estándares han sido diseñados por un grupo de expertos en esta patología con el objetivo de medir la calidad con la que son atendidas las personas con esta enfermedad en el territorio nacional cuyo nivel de cumplimiento no es nada fácil.

El acto de entrega de la distinción nacional con ambas especialistas portando el diploma certificativo, acompañadas de parte del equipo directivo del centro y representantes del SAS.
El acto de entrega de la distinción nacional con ambas especialistas portando el diploma certificativo, acompañadas de parte del equipo directivo del centro y representantes del SAS. / H. U. V.

Un reconocimiento que comparten las dos asociaciones de pacientes vinculadas en Sevilla a estas enfermedades (ASEPAR y Acción Psoriasis) y que, según han contado desde el hospital a este periódico, han mostrado a las especialistas su "agradecimiento" a los servicios de Dermatología y Reumatología "por el esfuerzo en ofrecerles la mejor asistencia posible".

Una consulta multidisciplinar

Dado que los síntomas articulares de esta enfermedad pueden tardar hasta diez años en aparecer, y atendiendo a su carácter potencialmente grave, los expertos subrayan la importancia de un abordaje multidisciplinar al objeto de lograr diagnósticos precoces que puedan controlar su evolución y, así, prevenir complicaciones.

Un enfermero ayuda a unapaciente a realizar un cuestionario de calidad de vida.
Un enfermero ayuda a unapaciente a realizar un cuestionario de calidad de vida. / H. U. V.

De eso se encarga la consulta de las doctoras Pérez Gil y Hernández Sánchez que, junto a médicos internos residentes de ambas especialidades y el personal de enfermería, atienden una agenda monográfica para estas dos dolencias en busca de la mejor opción terapéutica para cada paciente y la mejor respuesta asistencial.

Como explica la reumatóloga, los pacientes que llegan a esta consulta suelen presentar "un dolor inflamatorio a primera hora de la mañana", o incluso por la noche, "llegando a despertarse por la intensidad del mismo". Además, puede aparecer hinchazón de los dedos de las manos o pies, dolor en el talón al comenzar a caminar por la mañana o en la zona baja de la espalda con las primeras movilizaciones.

La consulta establecida tiene lugar cada martes final del mes y en ella se atienden entre 22 y 25 pacientes. Algunos son pacientes nuevos, mientras que otros son pacientes que frecuentan varias veces al año la unidad para someterse a seguimiento y revisiones. En ella, las especialistas valoran y deciden la mejor opción terapéutica en cada paciente frente a la aparición de un arsenal terapéutico cada vez más amplio tanto en dermatología como en reumatología.

Según destacan las dos especialistas, la detección precoz resulta fundamental para la calidad de vida del paciente y prevenir que se desarrolle cualquier tipo de discapacidad. "Repercute en una mejora de la calidad de vida del paciente que, en caso contrario, puede llegar a tener lesiones muy incapacitantes", destaca la doctora Amalia Pérez Gil. "Nuestro papel es fundamental a la hora de diagnosticar la artritis psoriásica", añade la reumatóloga Raquel Hernández Sánchez.

Respecto a los criterios de entrada de pacientes a esta consulta monográfica, se corresponden con casos con sospecha diagnóstica de artritis psoriásica, pacientes con mal control de la enfermedad cutánea y articular y pacientes complejos que precisan un mejor control clínico.

Los resultados de este modelo asistencial hablan por sí solos. "La dinámica favorece el diagnóstico y tratamiento en fases precoces tanto de la afectación cutánea como de la articular, minimizando la progresión de la enfermedad, el consiguiente daño estructural y la aparición de complicaciones de las mismas", destacan las responsables de la consulta, quienes apuntan que, además de los beneficios clínicos sobre el control de la enfermedad, aporta como valor añadido otras tantas ventajas asistenciales. "Evita exámenes innecesarios y duplicidad de pruebas, ahorra tiempo y desplazamientos a los pacientes, (especialmente importante en áreas sanitarias como la del área sur de Sevilla con gran extensión geográfica), disminuye los costes, reduce el dolor y con ello mejora la calidad de vida del paciente", apostillan.

Anualmente el equipo de las doctora Pérez Gil y Hernández Sánchez atienden una media de 240 consultas, de ahí que durante este lustro de funcionamiento de la unidad se hayan realizado en torno a 1.200 consultas para estas patologías. Desde ambos servicios clínicos ponen en valor esta forma de trabajo interdisciplinar, destacando los avances obtenidos como balance de la actividad realizada tanto en diagnósticos precoces, optimización de tratamientos, mejora de la calidad asistencial y la oportunidad para profundizar en proyectos de investigación dirigidos al avance en el manejo y mayor conocimiento de estas enfermedades.

Por su parte, la subdirectora gerente de esta área sanitaria, Rocío del Castillo, destaca el esfuerzo de los profesionales implicados que "durante los últimos cinco años han puesto al alcance de nuestros ciudadanos y usuarios las mejores prácticas clínicas posibles para abordar estas enfermedades".

stats